Jordan Dentistry Smile Gallery

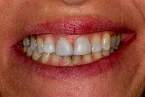
Photo of teeth showing them before dental veneers Photo of teeth showing them after dental veneers

Before & After Veneers

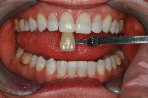
Photo of teeth showing them before the application of dental veneers Photo of teeth showing them after the application of dental veneers

Before & After Veneers

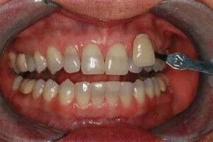
Teeth before the application of dental veneers Teeth after the application of dental veneers

Before & After Veneers

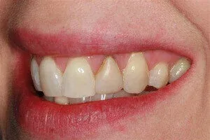
Canine Tooth Before Crown Replacement Canine Tooth After Crown Replacement

Before & After Crown Replacement

Tetracycline Stains On Teeth Before Deep Bleaching Tetracycline Stains On Teeth After Deep Bleaching

Before & After Deep Bleaching
(Tetracycline Stain)

Set Of Teeth Before Deep Bleaching Set Of Teeth After Deep Bleaching

Before & After Deep Bleaching

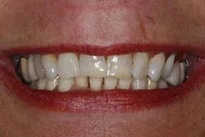
Set of Yellowed and worn teeth Before Veneers Set of nicely repaired teeth after veneers

Before & After Veneers

They say that a picture is worth a thousand words. Our photos speak for themselves.
If you are wondering how a visit to Jordan Dentistry can improve your smile and your life, take a minute to look through our photo gallery.